维生素B3加强线粒体病的有效治疗
来源:《Embo Molecular Medicine》
作者:Nahid A Khan等
时间:2014-04-14

芬兰赫尔辛基大学和瑞士洛桑联邦理工学院的研究人员发现,维生素B3型烟酰胺核苷可以减缓线粒体疾病的发展,表明其作为成人型线粒体肌疾病治疗新方法的潜力。《EMBO分子医学杂志》报道这些研究结果。
最近证明维生素B是能量代谢的有效改性剂,特别是线粒体的功能。已发现维生素B3(烟酸)延迟模式动物的衰老迹象。
线粒体通过产生燃料ATP给我们身体的所有细胞供能,维持所有细胞的功能。这些细胞引擎功能障碍可导致线粒体紊乱,这是成人和儿童遗传性代谢疾病的最常见原因。线粒体肌病是成人线粒体疾病最常见的表现形式。患者的典型症状是肌肉无力、疼痛和抽筋。尽管不断理解这些疾病的发生发展,但仍没有有效的治疗方法。
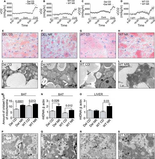
在本篇报道中,Anu Suomalainen Wartiovaara教授团队的 Nahid Khan博士发现,用B3型烟酰胺核苷补充食品喂养小鼠,推迟了小鼠的线粒体肌病。治疗增加线粒体的质量和功能,消除结构异常。这些结果清楚地表明这种维生素B型(牛奶的一种天然成分)能激活失调的线粒体代谢。
“这些结果是理解人类线粒体肌病机制和探索有效治疗成年人不断发展的功能失调的方法的突破。他们还强调了烟酸在影响线粒体能量代谢方面的重要作用,” Anu Suomalainen Wartiovaara教授陈述。(编译:中国科学院成都生物研究所 王芋华,王海燕)
Effective treatment of mitochondrial myopathy by nicotinamide riboside,
a vitamin B3
Abstract Nutrient availability is the major regulator of life and reproduction, and a complex cellular signaling network has evolved to adapt organisms to fasting. These sensor pathways monitor cellular energy metabolism, especially mitochondrial ATP production and NAD+/NADH ratio, as major signals for nutritional state. We hypothesized that these signals would be modified by mitochondrial respiratory chain disease, because of inefficient NADH utilization and ATP production. Oral administration of nicotinamide riboside (NR), a vitamin B3 and NAD+ precursor, was previously shown to boost NAD+ levels in mice and to induce mitochondrial biogenesis. Here, we treated mitochondrial myopathy mice with NR. This vitamin effectively delayed early‐ and late‐stage disease progression, by robustly inducing mitochondrial biogenesis in skeletal muscle and brown adipose tissue, preventing mitochondrial ultrastructure abnormalities and mtDNA deletion formation. NR further stimulated mitochondrial unfolded protein response, suggesting its protective role in mitochondrial disease. These results indicate that NR and strategies boosting NAD+ levels are a promising treatment strategy for mitochondrial myopathy.
原文链接:http://embomolmed.embopress.org/content/embomm/early/2014/04/05/ emmm.201403943.full.pdf